

Dr. Dilip Raja
Urologist & Andrologist
Best Doctor for bladder Cancer In Mumbai – Dr.Dilip Raja | Advance Care & Treatment
Dr. Dilip Raja, a leading bladder Cancer Doctor in Mumbai, provides expert diagnosis and advanced treatment options. With decades of experience in urologic oncology, he specializes in bladder cancer surgery, minimally invasive procedures, and personalized care. If you’re looking for the best urologist for bladder cancer treatment in Mumbai, schedule your consultation today for expert guidance.
Consult The Best Doctor for Bladder Cancer In Mumbai For faster recovery with Expert Care & Treatment
Get in touch with us today (+91 9820074649 )
Urothelial carcinoma, Adenocarcinoma, Bladder Tumour, Squamous cell carcinoma, Transitional Cell Carcinoma, Cancer of Bladder
Bladder cancer is Cancer affecting the Urinary Bladder. Bladder cancer is a fairly common form of cancer and men are affected two to three times more than women. Most Bladder Cancers occur after the age of 55. The disease bladder cancer is not contagious. Dr. Dilip Raja who is a practicing Urology, Andrology and Uro-Oncology for last more than 35 years, Makes him leading Urologist, Best Bladder Cancer Doctor In Mumbai, India will do a complete evaluation and examination to detect Bladder cancer.

Causes Bladder Cancer
It isn’t always clear what causes cancer, but the following factors, among others, are thought to increase the risk of bladder tumours
- Cigarette Smoking – the leading factor seems to be tobacco, which contains carcinogenic chemicals.
- Occupational Exposure to chemicals – certain industrial chemicals, such as aniline dyes and xenyl amine are known to increase the risk of bladder cancer. Chemical exposure in work place e.g. Rubber, Leather industries, Aluminium, Dye workers, Hair stylists, Machinists, Metal Workers, Painters, Printers, Textile workers, Truck drivers
- Certain Drug Toxicities -eg. Chemotherapy drugs like Cyclophosphamide (Cytoxan) can increase risk of bladder cancer.
- Past radiation exposure -this includes radiotherapy used to treat previous cancer, such as in the bowel. Radiation therapy in women being treated for cervical cancer.
- Recurrent Bladder Infection -Long-term or repeated irritation, or infections such as cystitis. Some UTIs are linked to long term use of urinary catheters.
Types Of Bladder Cancer
Bladder cancer is often described by how far it has moved into the bladder wall.
- Non-muscle invasive bladder cancer is the most common type, in which the cancerous cells are contained within the tissue that lines the bladder. Fatalities from this kind of bladder cancer are uncommon
- Muscle invasive bladder cancer cancerous cells spread beyond the lining of the bladder and into the bladder muscle that surrounds it. This type is common but more serious, as it increases the chance that the cancer will spread to other parts of the body (metastasis).
Symptoms Of Bladder cancer
- Blood in the urine (haematuria) with or without clots – the most common symptom of bladder cancer. Total painless haematuria is the classical symptom of Bladder cancer.
- Increased frequency of urine
- Feeling the need to urinate many times specially at night and sometimes not able to pass urine.
- Sudden urge to urinate, urine leakage (incontinence)
- Burning sensation when urinating
- Painful urination (dysuria)
- Fatigue
Diagnosis / Investigations – How Bladder cancer is diagnosed by Urologist, Uro-Onco surgeon
- Urine tests:The urine will be tested for blood cells, pus cells, cancer cells, urine for cytology
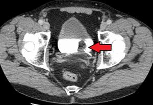
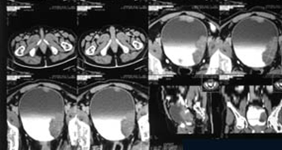
- Ultrasonography of Kidney, Ureter, Bladder (KUB)
- Intravenous Urography (IVU)
- CT Urography – will detect the presence, depth and type of bladder cancer with functioning of urinary system.
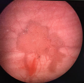
- Cystoscopy: – this procedure allows Uro Onco surgeon,to look inside the bladder by inserting Cystoscope through the urethra into the bladder.
- Bladder biopsy: – this is the most comprehensive test to see if you have bladder cancer. TThrough cystoscopy Uro-Onco takes a adequate piece of the bladder tissue for histopathology examination.
If Transitional Cell Carcinoma – of the Bladder is detected on Biopsy, subsequent evaluation will be done for staging, grading and distant spread of bladder cancer

There are various different types of bladder cancer
The most common is urothelial bladder cancer, also known transitional cell bladder cancer (TCC). It is commonest type of the bladder cancer.
Some rarer types of bladder cancer are squamous cell bladder cancer, adenocarcinoma, sarcoma and small cell bladder cancer.

Risk Factors Of Bladder Cancer
Following are the risk factors for bladder cancer include the following:
- Heavy Smoking.
- Being over the age of 55.
- A family history of bladder cancer.
- Having particular changes in the genes that are linked to bladder cancer.
- Drinking water from a well containing high levels of arsenic
- Drinking water which has been treated with chlorine.
Are all bladder tumours cancerous?
The majority of bladder tumours are cancerous; however, this is not always the case. Some of these tumours remain benign. Some benign tumours are similar in appearance to malignant tumours therefore it is essential to undergo a biopsy to determine the state of the tumour.
Classifications Of Bladder cancer Or Tumor
The Bladder Cancer can be classified in many ways. One depends on Invasiveness and Non-invasiveness.
Tests can indicate the depth of which cancer has developed into the bladder wall. As mentioned above, if it remains within the inner walls of the bladder, without growing into the outer layers, it is non-invasive. If it grows into the outer layers of the bladder, it is invasive. Invasive cancers spread more easily and are often more difficult to treat.

Stages – Bladder Cancer
The stage refers to the growth or spread of the cancer in the place it started. Additionally, it tells if the cancer has spread to other organs of your body that are close by or farther away.
Cancer can be stage 0, 1, 2, 3, or 4. The lower the number, the less the cancer has spread.
- Stage 0 – Bladder Cancer is in the lining of the bladder only and not spread.
- Stage 1 – The cancer goes through the bladder lining, but does not reach the bladder muscle.
- Stage 2 –The cancer spreads to the bladder muscle wall.
- Stage 3 –The cancer spreads past the bladder into the fatty tissue surrounding it.
- Stage 4 – The cancer has spread to nearby structures such as the prostate gland, uterus, vagina, rectum, abdominal wall, or pelvic wall.

GRADE– Bladder cancer
Grade refers to how cancer appears under the microscope. Low-grade bladder cancers look very similar to normal bladder cells. They usually grow and spread slowly. High-grade bladder cancers look less similar to normal bladder cells. They are more likely to grow and spread and may be harder to treat.
Treatment Of Bladder cancer
Once diagnosed, bladder cancer is treated by a multidisciplinary team, which may include a urologist, a pathologist, a clinical oncologist, and a radiologist, among others.
Depending on the stage of the cancer and the risk it poses to the patient, different treatments can be given. One or more of the following treatments may be recommended, depending on the stage, invasiveness and grade:


- Transurethral Resection of a Bladder Tumour (TURBT) –Cancerous bladder tissue is removed through the urethraSubsequently, chemotherapy or immunotherapy can be directly given inside the bladder through urinary catheter.
- Radical Cystectomy (surgery to remove the bladder) – means complete removal of bladder. Many people with stage II or III bladder cancer may need to have their bladder removed.
- Partial Cystectomy –Sometimes only part of the bladder is removed.
- Radiotherapy
- Immunotherapy
- Intravesical chemotherapy
- A combination of Surgery,Chemotherapy & Radiotherapy may be necessary
Sometimes more than one type of treatment is given. The best treatment plan for you that’s depends on:
- The stage and grade of the cancer.
- The invasiveness of the cancer
- The chance that a particular treatment will cure the cancer or help in any way
- Any other health problems that the patient might have.
- How the treatment is tolerated and if any side effects occur.
Preventive Measures / Treatments Of Bladder Cancer
- Smoking –Quit smoking
- Chemical Exposure –Avoid working in Dye factories, change of profession.
- Awareness
- Follow ups –regular follow up visit with Urologist and Uro-onco surgeon Dr. Dilip Raja, Mumbai, India is an absolute necessity.
- Prognosis –depends on the initial stage and grade of the cancer and subsequent response to the treatment. However, the in early stage like 0 or 1 cancer, the end result is fairly good and encouraging. Further, follow up is necessary to diagnose early recurrence and treat the same. Advanced cancers like stage III and more can have poor prognosis and very advanced and spread cancer can rarely be cured.