

Dr. Dilip Raja
Urologist & Andrologist
Best Doctor For Kidney Cancer In Mumbai – Dr. Dilip Raja | Urologist, Andrologist & Uro-Oncologist
Dilip Raja, a leading kidney cancer specialist in Mumbai, brings over 35 years of experience in diagnosing and treating kidney cancer. He offers advanced kidney cancer treatment in Mumbai, including minimally invasive and robotic surgery, ensuring the best possible care for patients.
If you’re looking for expert medical care, schedule a consultation with recognized as Experienced & the Best Kidney cancer Doctor In Mumbai Today!
Get in touch with us today (+91 9820074649)
Kidney Cancer affects either or both kidneys in men more than in women. Generally, it occurs in either men or women after 45 – 50 years of age. Any tumour in the kidney is considered as malignant, unless proved otherwise.
These kidney tumors are also known as RENAL CELL CARCINOMA. Nowadays incidence of kidney cancer has increased and similarly they are diagnosed at an early stage due to improvement in technology like USG of abdomen and pelvis, CT scan, MRI of abdomen and pelvis etc. Dr. Dilip raja, the best doctor for Kidney cancer in Mumbai, Specialized in early detection and advanced Treatment Options, significantly improving survival rates.
How Does Kidney Cancer Affects?
Any Kidney cancer / Tumour whether it is benign or cancerous, evolve from a disruption of gene cells one or more in DNA. The genetics cell multiplications are normally under control but when they go out of control, they form a mass of a tissue which is called a Tumour or Cancer.

Types Of Kidney Cancer
- Renal Cell Carcinoma (RCC) – Constitutes approximately 85% of kidney cancers.
- Transitional cell cancer (TCC) of the renal pelvis is less common and constitutes approximately 08% of diagnosed cancers.
- Benign Tumors-Benign Tumors of Kidney constitutes 5.7% of all kidney tumor for an Example : Angiomyolipoma of the kidney.
The causes of kidney cancer are not really known. However, the following are considered as Risk Factors: –
- Smoking
- Certain Occupational Hazards
- Coke Oven workers & asbestos workers
- Obesity
General symptoms: high blood pressure, fever, anaemia, muscle mass loss, loss of appetite, unexplained weight loss.
- Lump or a mass felt in the kidney or abdomen region
- Dull ache on the side of the tumour
- Blood in urine (haematuria) with or without clots
- Recurrent Fevers and sometimes high Blood Pressure
- Persistent Fatigue
Investigation For Kidney Cancer
The following investigations can be done to diagnose Kidney Cancer
- Urine Analysis – is the commonest test performed to detect and manage a wide range of disorders, such as urinary tract infections, presence of blood in urine, presence of albumin in the urine. It also detects other conditions like Diabetes and other kidney disorders.
- Renal Function Tests – to assess renal function is to get an estimate of the glomerular filtration rate (GFR) and to check for proteinuria (albuminuria). Most importantly it guides the uro-surgeon to assess function of both kidneys.
- Sonography of Abdomen & Pelvis with post void residual urine – makes it possible to see your abdominal and pelvic organs: kidneys, bladder, prostate, seminal vesicles, liver, gallbladder etc.
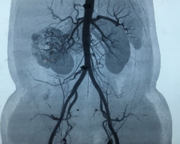
- Renal Angiography – is an imaging test to look at the arteries in your kidneys. This is important prior to surgery. This facilitates the urooncologist surgeon to dissect and trace the arteries and veins of kidney but also educates about the feeding tumour vessels. This can be done by conventional Angiography or CT Renal Angiography.
- Chest X ray and Bone Scan – Chest X Ray is a common type of exam.
- Bone scan- is a test that uses nuclear imaging to help diagnose and track several types of bone disease and the metastasis and spread of tumour to the bone.
- Intravenous Urogram with post void films – is a test that uses X-rays and a special dye to help assess function of kidneys, ureters and bladder.
- CT Urography – A computerized tomography (CT) urogram is an imaging technique used to evaluate the urinary system. It also evaluates the location of the tumour mass in the kidney and its extent of spread. The tumour can be localised within the kidney or could have spread outside the kidney. It also helps in staging of kidney cancer.
- MRI of Abdomen & Pelvis – to help diagnose or monitor the presence of tumour and evaluates both kidneys and other organs.

- PET Scan – is a type of test that may be used in cancer treatment to evaluate the spread of the kidney cancer outside urinary tract and within the entire body to detect metastasis and allows uro-oncologist for thorough evaluation of the extent of the cancer and its spread.
Kidney Cancer-Stages
The following investigations can be done to diagnose Kidney Cancer

- Stage I –The tumour is 7 cm or smaller and is only located in the kidney. It has not spread to the lymph nodes or distant organs.
- Stage II – The tumour is larger than 7 cm and is only located in the kidney. It has not spread to the lymph nodes or distant organs.
- Stage III – The main tumour can be any size and may be outside the kidney, but it has not spread beyond Gerota’s fascia. The cancer has spread to nearby lymph nodes but has not spread to distant lymph nodes or other organs. The tumour may grow into a major vein (like the renal vein or the inferior vena cava) and not growing into the adrenal gland.
- Stage IV – The main tumour is growing beyond Gerota’s fascia and may be growing into the adrenal gland on top of the kidney. It may or may not have spread to nearby lymph nodes. It has not spread to distant lymph nodes or other organs.
Treatment / Surgery
- If these tests suggest that a tumour is present, it is important to know the extent, or stage, of the disease. Because kidney cancer can spread to the bones, lungs, liver, or brain, staging procedures may include special x-rays and tests to check these organs.
- Radical Nephrectomy – is the Ideal treatment for Kidney Cancer. These may require additional chemotherapy, immune therapy etc depending of extent of the disease or the recurrence of the cancer.
- Partial Nephrectomy – is the surgery for removal of entire tumour mass and preserving the healthy renal parenchyma.
- These surgeries can be achieved either by Open surgery, Laparoscopic or Robotic surgery.
Radical Nephrectomy
Radical Nephrectomy is the standard surgery for any Renal Cell Carcinoma or Kidney Cancer.
Radical Nephrectomy consists of removal of entire kidney with its tumour in situ and without opening its covering (fascia) and is removed in to along with adrenal gland, surrounding fatty tissue and lymph nodes. These lymph nodes are the commonest site of spread of kidney cancers. Involvement of lymph nodes is considered as spread of tumour and increase its staging and reduces the outcome of surgery and may require other modes of therapy along with strict follow up and monitoring.
Radical nephrectomy can be done by Open, Laparoscopic or Robotically.


Partial Nephrectomy
Partial Nephrectomy sometimes can be the preferred treatment for many people with a early stage of kidney cancer. This can be done to remove a single localized tumor between 4 to 7 CMS. In this surgery only the cancerous tumor is removed leaving behind the healthy kidney tissue as much as possible. Hence, this surgery is performed either in a single kidney with the tumor or where it is of utmost importance to preserve the renal parenchyma. It is important to have the tumor free margins at the periphery
Transitional Cell carcinoma of the Kidney:-can also occur within the kidneys and their treatment is on the lines of urothelial cancer. TCC of the kidney will require Radical Nephro-Ureterectomy with the excision of the cuff of the bladder and needs aggressive follow up. The other modalities can become part of the treatment that is Chemotherapy, Radiotherapy, Immunotherapy etc.

Prognostic Factors for Kidney Cancer
When diagnosing and treating kidney cancer, doctors consider several prognostic factors to predict how the disease will progress and determine the most effective treatment plan. If you’re seeking the best doctor for kidney cancer in Mumbai, understanding these factors can help guide your treatment decisions.
Key Indicator Included :
- High LDH, high Calcium levels, high white blood cells, high platelet cell count
- Less than a year from diagnosis to the need for systemic treatment.
- Poor performance status (wellbeing of the person)

Treatment Of Metastatic Renal Cell Carcinoma
- Palliative Nephrectomy – This surgery is performed for control of severe symptoms example severe bleeding,severe pain, compression of adjacent organs.
- Adjunctive Nephrectomy – means removal of the primary tumour in patient with metastasis for purpose of either prolonging survival or causing regression of metastatic lesion.
Recurrence of Renal Cell Carcinoma: Recurrent cancer is cancer that has come back after treatment has been completed. It may be found in the kidney area or in another part of the body. If the cancer does return, there will be another round of tests to learn about the extent of the recurrence. These tests and scans are often similar to those done at the time of the original diagnosis. Chemotherapy which cytotoxic drug may be the choice of treatment.